Tag: Neurotoxic effects of microplastics
Rising Microplastic Accumulation in Human Brain Tissue: Study
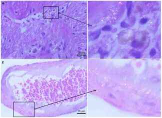
A Groundbreaking Study Reveals Microplastic Accumulation in Human Brain Tissue In a recent study conducted by health sciences researchers at the University of New Mexico (UNM), a shocking discovery was made regarding the presence of...








